入れ歯治療


治療名称
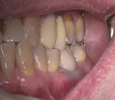
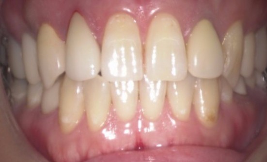
ノンクラスプ義歯(右上76)
治療費
143,000円(税込)
治療期間
R5年7月5日~R5年9月28日
メンテナンス頻度
2ヶ月前後
患者の症状
右上7部で歯根破折したと言う。
治療方法
R5年7月右上7部を抜歯して抜歯治癒期間を約2ヶ月間置き、出来るだけ早く義歯を作製して欲しいと言う事で、R5年9月右上76部ノンクラスプ義歯印象、咬合採得、試適をはさんでノンクラスプ義歯の装着する。
治療結果
クラスプの目立たない義歯が入りとても喜んでいました。
治療の注意点
(リスク/副作用)
義歯による歯肉の痛み、義歯に慣れるまでに時間がかかる。劣化によるノンクラスプアームの破折。


治療名称
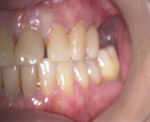
ノンクラスプチタン床義歯(右上76543)
治療費
396,000円(税込)
治療期間
R1年9月5日~R2年5月7日
メンテナンス頻度
2ヶ月前後
患者の症状
右上7654部動揺していて噛んだ時に痛いと言う事で受診。
治療方法
R1年9月右上76543部即時義歯印象、咬合採得。右上7654部抜歯をしてすぐに、右上76543部即時義歯装着。右上7654部抜歯部治癒期間約6ヶ月置き完全に治癒してから、R2年4月に右上76543部ノンクラスプチタン床義歯印象、咬合採得、義歯試適をはさんでR2年5月ノンクラスプチタン床義歯装着する。
治療結果
抜歯部治癒するまでの間保険内義歯を装着していた際に右上前歯部の金属クラスプが見えていたが、右上前歯部に金属クラスプが見えなくなり審美面が気に成らなくなり快適にノンクラスプチタン床義歯が使用出来ている様に成った。
治療の注意点
(リスク/副作用)
義歯による歯肉の痛み、義歯に慣れるまでに時間がかかる。劣化によるノンクラスプアームの破折。
現在も快適に義歯が使用出来ているがチタンの金属が装着したばかりと比べると黒褐色に金属が変化して来ている。
治療名称
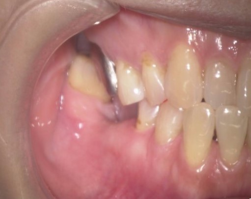
17、46部ノンクラスプ義歯装着
治療費
143000円×2床=286000円
治療期間
R5年1月13日~R5年5月18日
メンテナンス頻度
3ヶ月
患者の症状
R5年1月13日右下6番で噛んで痛いと言う事と右上7番の欠損部入れて欲しいと受診。
治療方法
R5年1月13日レントゲン撮影の診断結果で右下6番に歯根破折を認めたので抜歯をしました。
R5年2月17日右上7番欠損に成っている所は隣の歯を削りたくないので、目立たない義歯で作製して欲しいと言う事で、ノンクラスプ義歯作製する事に成った。
R5年3月2日ノンクラスプ義歯印象とかみ合わせ採得する。
R5年3月16日ノンクラスプ義歯装着する。右下6番抜歯した穴がふさがって来たのでR5年4月27日ノンクラスプ義歯印象とかみ合わせ採得する。
R5年5月18日ノンクラスプ義歯装着する。
治療結果
金属などのクラスプが使用されていない義歯が入ったので目立つことなく非常に満足していると言う。
治療の注意点
(リスク/副作用)
義歯による歯肉の痛み、義歯に慣れるまでに時間がかかる。劣化によるノンクラスプアームの破折。
矯正治療


治療名称
NCアライナー症例(マウスピース矯正症例)
治療費
275,000円(税込)
治療期間
NCアライナー矯正期間:R2年7月1日~R3年1月22日
リテイナー保定期間:R3年1月23日~2年以上
メンテナンス頻度
3ヶ月でしたが、R3年6月19日まで受診されていましたが、それ以降は受診されなくなった。
患者の症状
上顎前歯部正中離開と下顎前歯部の叢生が気にまるのでマウスピース矯正がしたい。
治療方法
NCアライナー矯正の術前術後のシュミレーション後カウンセリングして治療するのは、費用の関係で上顎前歯部離開のみの治療と成りました。CT、パノラマレントゲン、口腔内写真の精密検査をする。NCアライナー矯正開始(アライナーハードタイプ1枚を装着時間は1日20時間以上2週間装着し、次のステップへ進んで行く。5ステップ毎に作製してフィードバックしながら矯正完了のステップまでアライナー装着したら矯正完了で次はリテイナーSETは2年以上必要。
治療結果
上顎前歯部正中離開が無くなり綺麗な歯並びになったので満足している。
治療の注意点
(リスク/副作用)
アライナーを1日20時間以上装着しないとシュミレーション通り歯が動かないので矯正治療期間も延びるし治療費も追加されていくので、アライナーをしっかりと装着して頂く必要があります。


治療名称
プレオルソ治療(小児マウスピース矯正)
治療費
187,000円(税込)
治療期間
R2年11月12日~R4年11月10日
メンテナンス頻度
3ヶ月
患者の症状
上顎前歯部の隙間と下顎前歯部の少しガタガタしているのが気になると言う。
治療方法
プレオルソを日中1時間と就寝中に装着して貰い就寝中は装置が飛び出さない様に口唇部にテープを貼る。毎日あいうべ体操とプレオルソの装着をして貰い口の周囲の筋肉と舌を鍛える事で正しい歯列に導いてくれます。1ヶ月半毎に医院受診し経過を見てプレオルソの側方拡大を1ヶ月半毎に行う。12、11、21、22部が綺麗に並んだので、13と23部まだ萌出中であるが治療完了したいと言う希望があった。
治療結果
8歳から10歳まで2年間プレオルソを装着して行った結果上下顎前歯部は綺麗な歯並びに成りました。現在12歳に成り上下前歯、小大臼歯まで歯が綺麗に並んでいました。
治療の注意点
(リスク/副作用)
プレオルソは決められた装着時間を守らないと、口の周囲筋と舌を鍛える事が出来ないので、しっかりと装着をしないと、矯正力が掛からないので、矯正治療がきっちりと出来ません。1年生(6歳~7歳)からプレオルソ治療を行う方が良いとされています。
ホワイトニング治療


治療名称
ホームホワイトニング
治療費
33,000円(税込)
治療期間
R6年5月31日~R6年8月2日
患者の症状
上下顎前歯部を白くしたいと言う
治療方法
カウンセリングにてホームホワイトニングを希望されました。カスタムトレー作製の為の印象をしてカスタムトレー装着しGCティオン10%のホワイトニング剤を使用してまずは上顎から2週間ホームホワイトニング2本を使用し、次に下顎を2週間ホームホワイトニング2本を使用しました。追加ジェルでヨシダのアンジェラスホーム16%を使用したいと言う事で16%のホワイトニング剤を使用したが濃度が濃くなった分凍みる度合いが増え約1ヶ月かけて1本使用する。13部は失活歯でレジン充填されているので漂白されていない。
治療結果
上下顎前歯部は白くなったので、満足しているという。
治療の注意点
(リスク/副作用)
ホームホワイトニング剤は被せ物やレジンなどの充填物には漂白されなく充填物以外に歯は白くなっていくので被せ物や充填物をやり替える必要がある。今回16%ホワイトニングを使用したが凍みた時は中断して頂く必要があります。凍みた時はシュミテクトなどの歯磨き剤を使用するかフッ素塗布する様にして下さい。
審美歯科治療


治療名称
ジルコニアクラウンステイン有作製
(12,11,21,22)
治療費
75,600×4=302,400円(税込)
治療期間
H31年2月7日~3月15日
メンテナンス頻度
4~6ヶ月
患者の症状
12,11,21,22部の被せ物をやり替えたいと言う事で受診。
治療方法
被せ物を除去してジルコニアクラウン形成、印象をしてからジルコニアクラウンの装着をする。
治療結果
フテキの被せ物を除去して作り替えた結果綺麗に成り非常に満足している。
治療の注意点
(リスク/副作用)
被せ物を除去する際に過剰な力が掛かると、歯冠部が破折する事もあるので注意が必要。前歯部の治療で仮歯(TEK)を入れるのでたまに外れる事もある。


治療名称
ジルコニアセラミック作製(12,11,21,22)
治療費
126,000円×4=504,000円(税込)
治療期間
H24年6月8日~8月31日
メンテナンス頻度
4~6ヶ月
患者の症状
12,11,21,22部を綺麗にして欲しいと言う。
治療方法
麻抜(神経を取って)してから貼薬し根管充填後ファイバーコア印象、SETしてからジルコニアセラミックの形成、印象してジルコニアセラミック装着する。
治療結果
前歯部の隙間も無くなり左右均等に綺麗に歯が並んだので非常に満足している。
治療の注意点
(リスク/副作用)
4本の歯の神経を取ったので少し治療期間も掛かりました。前歯部の治療で仮歯(TEK)を入れるので、たまに外れる事もある。
治療名称
21部ジルコニアクラウン作製
治療費
77000円(税込)
治療期間
R7年5月22日~R7年6月7日
メンテナンス頻度
3ヶ月
患者の症状
21部で少し前突と少し歯が長い感じがあるのでやり替えたいと言う事で受診する
治療方法
R7年5月22日に21部レジン前装MCを除去して形成をして口腔内スキャナ―でデジタル印象を行いR7年6月7日にパールホワイトクラウン(E-グレーズ)の装着をしました。
治療結果
21部の前突感も無くなり満足していると言う。
治療の注意点
(リスク/副作用)
被せ物を除去する際に過剰な力が掛かると、歯冠部が破折する事もあるので注意が必要。
前歯部の治療で仮歯(TEK)を入れるのでたまに外れる事もある。
治療名称
36部CADCAM冠作製
治療費
保険適応
治療期間
R7年7月10日~R7年9月29日
メンテナンス頻度
4ヶ月
患者の症状
左則下顎6番で冷たい水を飲んだ時に痛みがあると言う事で受診。
治療方法
浸麻して36部神経を取ってから貼薬をする。貼薬を3回続けたのちに根管充填を行いメタルコア印象する。
メタルコア装着しCADCAM冠形成し、口腔内スキャナ―でのデジタル印象して、CADCAM冠を装着しました。
治療結果
R6年6月から大臼歯にまでCADCAM冠が作製出来る様に成り保険の中で白い被せ物が装着出来たので嬉しかったそうです。
治療の注意点
(リスク/副作用)
保険内で作製出来る白い被せ物は、上下顎とも7番まで萌出していないと作製出来ないのと強度に不安があるので破損してしまう可能性がある。
治療名称
レジン充填
治療費
保険適応
治療期間
R7年8月30日~R7年9月3日
メンテナンス頻度
3ヶ月
患者の症状
左側上顎1番と2番に隙間があるので気に成ると言う事で受診。
治療方法
21,22部間をタービンで歯を切削してからボンディング液を塗布して光照射後レジン充填を行い光照射して充填部をかためてから研磨を行う。
治療結果
前歯部の隙間が充填出来たのでとても嬉しいとの事でした。
治療の注意点
(リスク/副作用)
レジン充填行った隙間が大きいので同部で硬い物を食べた時に脱離する事がある。
インプラント


治療名称
インプラント補綴(35,36)
治療費
1,090,800円(税込)
治療期間
H29年5月27日~H30年5月24日
メンテナンス頻度
2ヶ月毎
患者の症状
35部FMCがダッリし歯根破折したと言う事と36,37部義歯が痛いと受診。
治療方法
35部抜歯を行い、抜歯部治癒確認。35、36、37部欠損部義歯が嫌だと言う事で治療方法説明した結果、インプラント補綴を希望されたので、静脈内鎮静麻酔下で、35、36部サージカルガイドを使用してインプラント埋入手術、骨造成手術を行う。37部は開口量に問題があり、インプラントが埋入出来なかった。骨質が悪かったので、インプラントの生着に9ヶ月の待機期間後に、インプラント2次手術を行い、1ヶ月の治癒期間後、インプラント印象採得を行い、インプラント上部構造物装着する。
治療結果
以前装着していた義歯の毎日の取り外しと義歯の装着違和感、痛みから解放されて、毎日食事を美味しく頂けている。インプラント補綴装着後約8年経過しているがまったくトラブルなく生活出来ている。
治療の注意点
(リスク/副作用)
女性患者さんの場合、骨粗鬆症の方が多いので、インプラントが生着するのに、待機期間が長くなる。インプラントの生着を待たず急いてしまうと、インプラントの脱落の要因となる。下顎のインプラント埋入の際は、下歯槽神経の損傷しない様注意が必要である。今回の症例では術後の知覚麻痺なども無くインプラントもしっかり生着して予後良好である。



